Multiparametric MRI for the Prostate
PET/CT Imaging of Prostate Cancer
PET/CT/Ultrasound Fusion of Gynecological Cancer
MR imaging provides excellent soft-tissue contrast and has become an imaging modality of choice for localization of prostate tumors. Multiparametric MRI (mp-MRI) includes high-resolution T2-weighted (T2W) MRI, diffusion-weighted imaging (DWI), dynamic contrast-enhanced imaging (DCE-MR), and MR spectroscopy (MRS). The mp-MRI has proven to be an effective technique to localize high-risk prostate cancer. The combined use of anatomic and functional information provided by the multiparametric approach increases the accuracy of MR imaging in detecting and staging prostate cancer. It can also help guide biopsies to achieve a higher tumor detection rate and better reflect the true Gleason grade. Although T2W, DWI, DCE-MRI and MRS are more commonly used in mp-MRI, some MRI methods, including diffusion tensor imaging (DTI), diffusion kurtosis imaging (DKI), and MR elastography (MRE), have been investigated for characterizing prostate cancer. Other MRI methods, including proton density-weighted (PD-W) image and T1 map, had also been added for improved detection of prostate cancer.

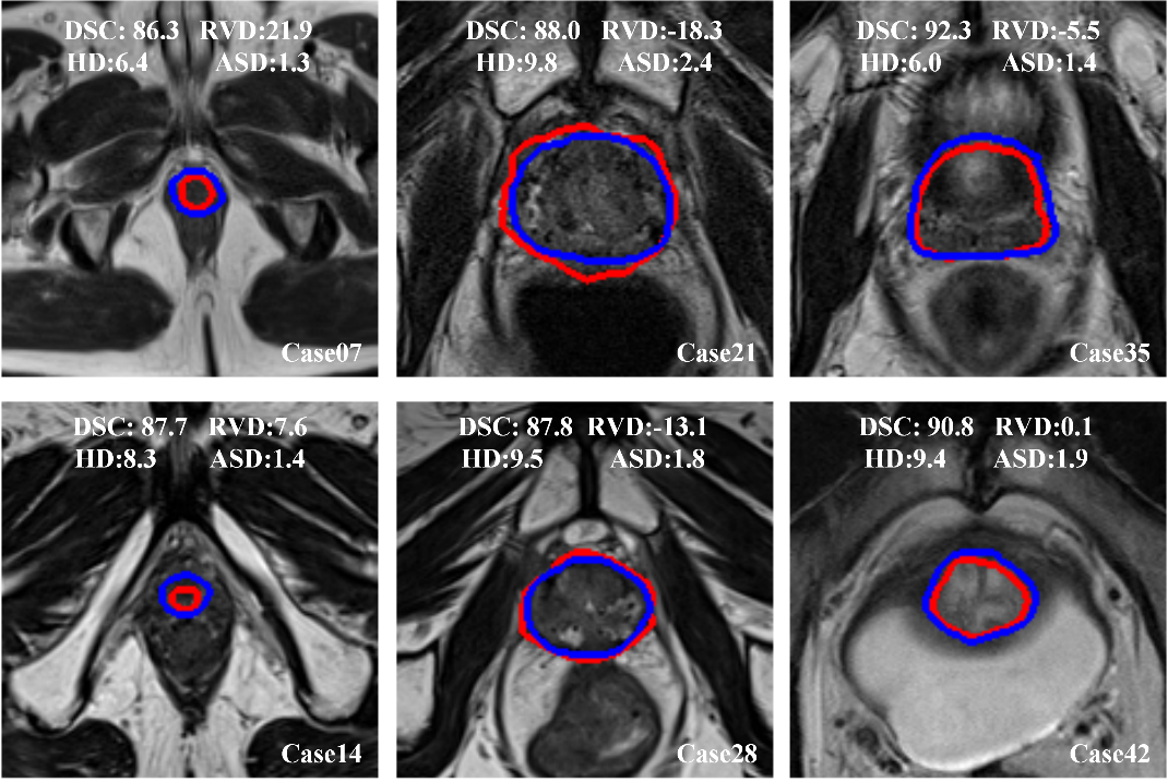
Our semi-automatic segmentation method for prostate MR images. The blue curves are the ground truth labeled by a radiologist, while the red curves are the segmentations of the proposed method (Tian Z, Liu L, Zhang Z, Fei B. Superpixel-Based Segmentation for 3D Prostate MR Images. IEEE Trans Med Imaging. 2016 Mar;35(3):791-801).